Mein Service
Herzlich Willkommen

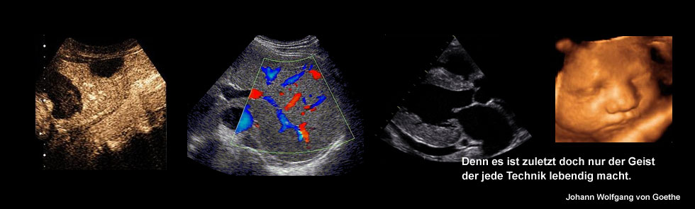
Rund um die Ultraschallapplikation
• Schulungen
• Beratung
• Gerätedemonstration
• Kundenbetreuung
• Workflow-Optimierung
• 3D/4D Sonographie
Sie sind Arzt oder medizinische Angestellte/er und haben Fragen rund um die Applikation des Ultraschalls für Ihre Ultraschalldiagnostik in Ihrer Praxis oder Klinikabteilung, oder sind Sie Hersteller oder Fachhändler von Ultraschallsystemen und brauchen Applikations-Unterstützung?
Ich berate Sie gerne bei allen Fragen der Ultraschalltechnik und führe speziell für Ihre Bedürfnisse Schulungen, Demo´s, Einarbeitung und Nachbetreuung durch.
Von den Physikalischen Grundlagen des Ultraschalls im B-Bild und Doppler bis hin zu Unterstützung im High-End Bereich sowie dem 3D Ultraschall oder der Kontrastmitteluntersuchung. In den verschiedenen Bereichen der Ultraschalldiagnostik kann ich Ihnen zeigen, Ihr System effizient zu nutzen und Ihren Workflow optimieren damit Sie Zeit und Geld sparen.
Ich freue mich über Ihr Interesse und antworte gerne auf Ihre Fragen rund um die Anwendung der Ultraschalltechnik für Ihre Diagnosik. Nutzen Sie bitte hierfür meine Kontaktseite.
Herzlichst

Ihre Spezialistin für Ultraschallapplikation